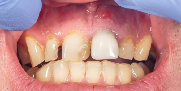
Are your teeth yellow even after brushing them every day? Find out how to fix it. || ପ୍ରତିଦିନ ବ୍ରଶ୍ କରିବା ପରେ ବି ଆପଣଙ୍କ ଦାନ୍ତ ହଳଦିଆ? ଏହାକୁ କିପରି ଠିକ କରିବେ ଜାଣନ୍ତୁ

ଖାଲି ପେଟରେ ଲେମ୍ବୁ ପାଣି ପିଇବା, ସକାଳେ ସ୍ମୁଦି ଖାଇବା, କିମ୍ବା ସନ୍ଧ୍ୟାରେ ମସଲା ଚା ପିଇବା ସରଳ ଏବଂ ନିରାପଦ ମନେହୁଏ। କିନ୍ତୁ ଏହି ତିନୋଟି ଜିନିଷ ଧୀରେ ଧୀରେ ଗୋଟିଏ ଜିନିଷକୁ ନଷ୍ଟ କରେ ଯାହା ପୁନଃସ୍ଥାପିତ ହୋଇପାରିବ ନାହିଁ: ତାହା ହେଉଛି ଦାନ୍ତର ଏନାମେଲ୍। ପ୍ରତ୍ୟେକ ଦାନ୍ତରେ ଥିବା ପତଳା ସ୍ତରକୁ ଏନାମେଲ୍ କୁହାଯାଏ। ଏହି ପତଳା ସ୍ତର ମାନବ ଶରୀରର ସବୁଠାରୁ କଠିନ ପଦାର୍ଥ। ଏ ବିଷୟରେ ନୂଆଦିଲ୍ଲୀର ଇନ୍ଦ୍ରପ୍ରସ୍ଥ ଆପୋଲୋ … Continue reading Are your teeth yellow even after brushing them every day? Find out how to fix it. || ପ୍ରତିଦିନ ବ୍ରଶ୍ କରିବା ପରେ ବି ଆପଣଙ୍କ ଦାନ୍ତ ହଳଦିଆ? ଏହାକୁ କିପରି ଠିକ କରିବେ ଜାଣନ୍ତୁ